About Vacuum Bell Therapy for Pectus Excavatum
Quick Links
- What is Vacuum Bell Therapy?
- Who Are the Best Candidates for Treatment?
- How Long Does the Treatment Take?
- What Are the Side Effects?
- Where can I purchase the Vacuum Bell?
Vacuum Bell Therapy for Pectus Excavatum first began trial in 2005, and since then has gained a large following, owing to the fact it offers a genuine non-invasive treatment method for Pectus Excavatum. Although the concept was first tested over 100 years ago using glass devices, the method didn't gain significant scientific attention until the advent of modern materials and subsequent creation of a silicone device by Eckart Klobe in 2005.
Despite only being a recent innovation in the field of chest wall deformities, Vacuum Bell Therapy has gained increasing popularity amongst doctors and patients alike for the non-surgical treatment of Pectus Excavatum. The Vacuum Bell offers a proven, non-surgical method of Pectus Excavatum treatment.

As of 2025, most leading pectus clinics offer the device as a non-surgical treatment method for their patients. According to a recent study with pectus surgeons from 47 major institutions, 72.4% offered Vacuum Bell Therapy as a treatment option for Pectus Excavatum.
As well as in non-invasive standalone treatment, the device has also been used in conjunction with the Nuss Procedure to facilitate the insertion of the Pectus introducer, the riskiest step of the operation. The Vacuum Bell is used during the surgery to lift the sternum away from the internal organs, which makes the insertion of the pectus introducer much easier and minimizes risk to the patient.
Above: 12 year old patient after 10 months of Vacuum Bell Therapy
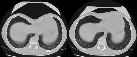
Below: Before and after Vacuum Bell treatment on a CT scan

